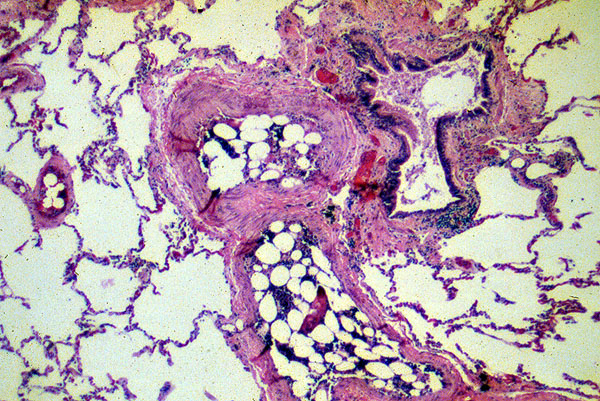
Something is very wrong here. Can you make the diagnosis?
    Click Here