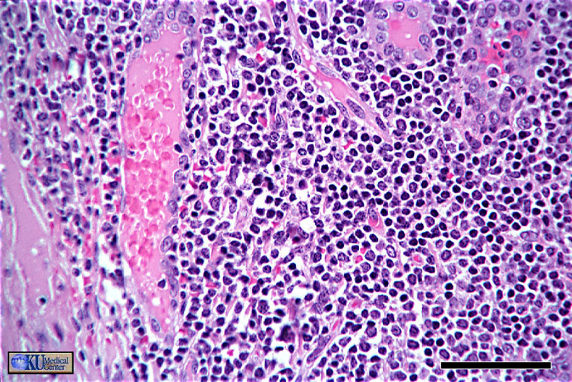
Slide 17 Post-Capillary Venule
The post-capillary venule is the main site of leukocyte extravasation. Here in a lymph node, it has a high (cuboidal) endothelium. Note the longitudinal cut on the left and the two cross sections on the right.

Bar = 50 Microns

Expanded View