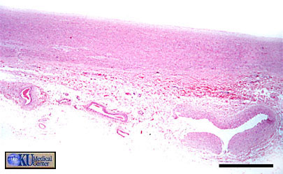
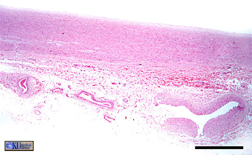
Slide 1 Aorta
Low power cross section of the wall of the aorta. The lumen is on top. Notice the vasa vasorum in the lower tunica adventitia.

Bar = 1 mm

Expanded View