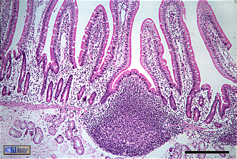
Slide 14 Duodenum
Goblet cells and villi confirm that this is the small intestine. The small Brunner's glands under the muscularis mucosa are found only in the duodenum (uh, test question?). The large lymphocyte infiltrate is common to the GI tract.

Bar = 250 Microns

Expanded View