Slide 17 Pineal
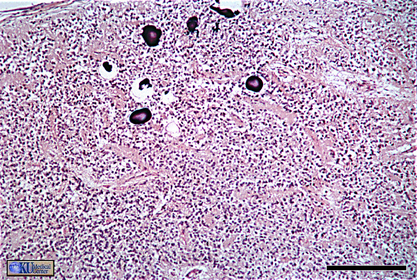
The pineal gland (in the brain) secretes melatonin, but its function in man is largely unknown. It is best identified by the distinctive dark globules known as brain sand that can be observed in the glands of older individuals.

Bar = 250 Microns

There are two principal cell types in the pineal; the pinealocyte that is a highly modified neuronal cell and that secretes melatonin, and glial cells.
Expanded View