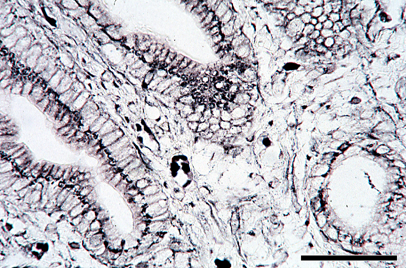
Slide 7 Large Intestine
The Golgi apparatus is difficult to see in light microscopy but can be stained by Defano's method. It stains black because of opaque deposits of silver. This is best seen in epithelial cells where the Golgi complex is about half way between the base and apex of the cell.

Bar = 50 Microns
Expanded View